Smile Gallery

Yardley Cosmetic Dentist

Your Cosmetic Dentist in Yardley Serving Newtown, Langhorne, Princeton & Surrounding

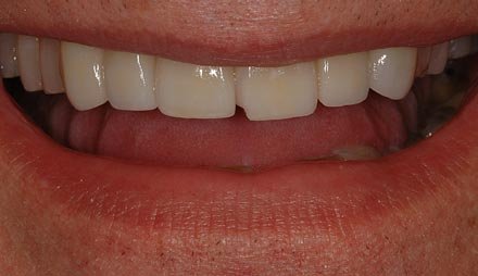
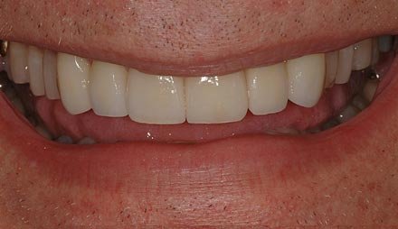
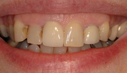
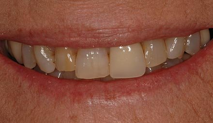
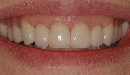
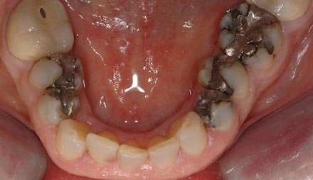
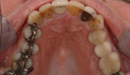
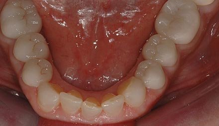
See Dr. Patel’s handiwork in action! Slide the arrows back and forth to see examples of Dr. Patel’s work.

(215) 504-2400 Book Appointment

Concierge Service


Compassionate Care

MEET DR. PURVI PATEL

Your Compassionate Dentist in Yardley Serving Newtown, Langhorne, Princeton & Surrounding

"My mission is to always provide extraordinary dental care in a compassionate setting. At Yardley Dental Arts, quality is key! We are NOT a high volume, high turnover office. We are patient centric office. Our practice model allows for concierge service and exclusive one on one time with the doctor and the hygienists. We pride ourselves on using premier materials, labs and the latest in dental technology including our GREEN CT 3D SCANNER, delivering high quality images at a fraction of the radiation as compared to the standard. This allows for fully customized treatment plans focusing on your specific needs and comfort level.

It’s a pleasure to serve you and your family for your comprehensive dental needs. Every one of us is passionate about what we do, and it shows! I look forward to meeting you."

Dr. Purvi Patel
Learn More Book Appointment

Patient

Testimonials

[lgx-carousel]
[lgx-carousel]

Our Family & Cosmetic Dentistry Services

Dentist in Newtown Serving Yardley, Langhorne, Princeton & Surrounding

At Dr. Patel’s office, you will experience a new approach to dentistry as we continue to aspire and drive forward to be the best place for dental care: A concierge dental practice with a patient centric philosophy.

At our office we offer everything from cosmetic dentistry to sleep apnea treatment using the latest dental technology because we believe by constantly training our staff, continuing our education and adopting the latest dental technology it will lead to an extraordinary dental experience.

© 2026, Yardley Dental Arts. All Rights Reserved.
Privacy Policy